ハムラ法とは
膨らみの原因となっている脂肪を凹み側へ移動・固定することで、膨らみと凹みの高低差を自然に整えます。
表ハムラ法
-
表ハムラ法
表ハムラは、まつ毛の生え際に沿ってメスを入れ、膨らみの原因となっている脂肪を凹みへ移動させ、シワなどの原因となっている余っている皮膚を同時に切除するため、たるみの強い方におすすめです。
こんな方におすすめ
- 目の下の皮膚のたるみが多く、クマ取りだけでは皮膚が余ってしまう方
- 目元のシワも同時に切除して、若返り効果を最大限に出したい方
裏ハムラ法
-
裏ハムラ法
裏ハムラは表ハムラと異なり、皮膚を切除しないため、皮膚の表面に傷が残らないのが特徴です。
まぶたの裏側から膨らんでいる脂肪を凹み部分へ移動・固定することで、膨らみと凹みの段差を自然に整えます。こんな方におすすめ
- 目の下に凹みや段差があり、脂肪を移動させて、目元をフラットにしたい方
- 皮膚の表面に傷を残したくない方
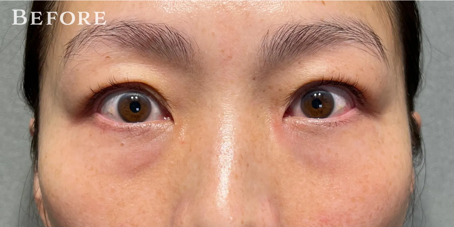
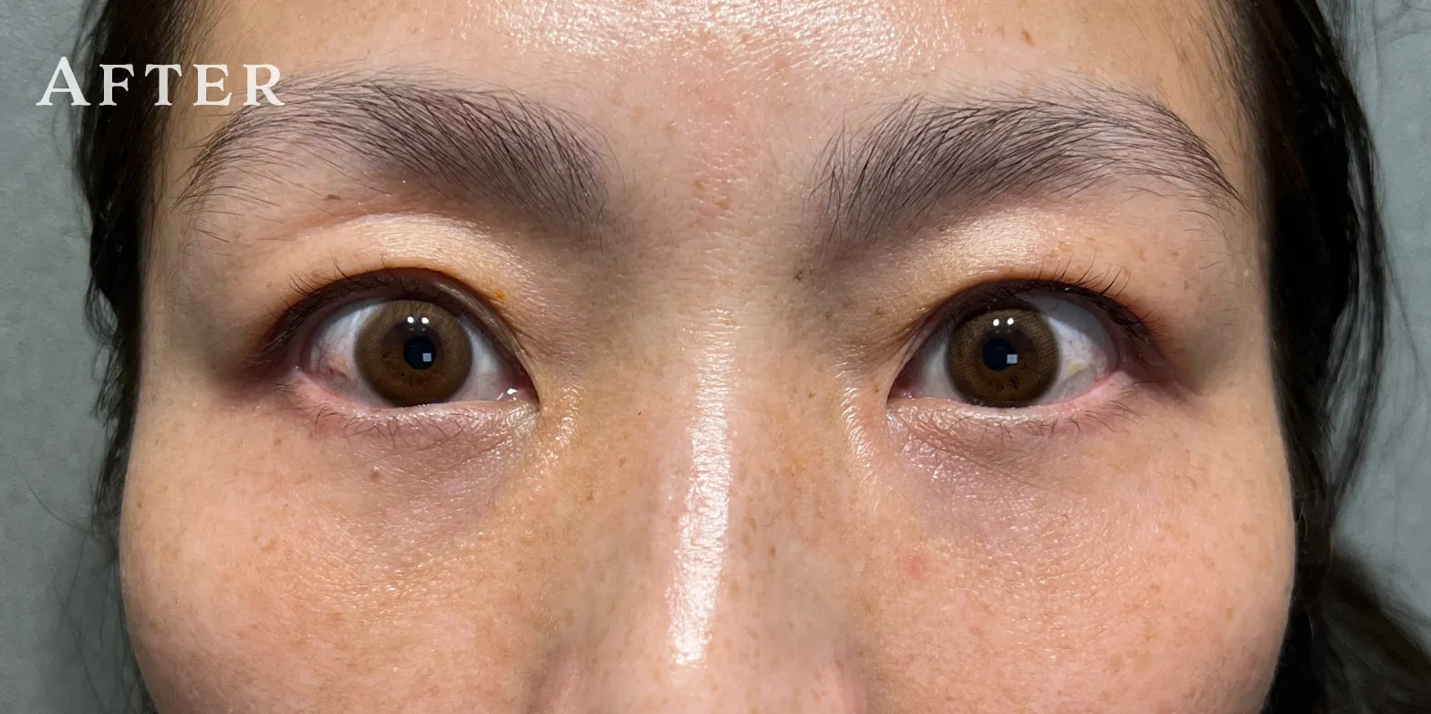
CASE01
-

-

-
20代女性
昔から目の下にあるクマがお悩みとのことでしたが、太ももから脂肪を取ることに抵抗があり、凹みが少なかったため、裏ハムラによる脂肪の移動のみで改善することができました。
CASE02
-

-

-
30代女性
既に脂肪吸引歴があり、脂肪採取が困難だったため、裏ハムラによる脂肪の移動で膨らみと凹みを改善させています。
| 施術名 | 裏ハムラ法 |
|---|---|
| 起こりうるリスク | だるさ・熱感・頭痛・痒み・むくみ・発熱・膨らみが残る・目がゴロゴロする・小ジワ・シワ・血腫 |
| 料金 | 439,00円(税込)〜489,000円(税込) |
-
クマ取り女王 ゆみこ先生のワンポイント解説
ハムラ法は膨らみの原因となる脂肪を凹みに移動させる施術のため凹みが強く、単に脂肪を移動させるだけでは凹みに対して、採取した脂肪が足りない場合があります。
その場合は、目の下の膨らみを解消する「目の下の切らないクマ取り」と、凹みや影をふっくらと自然に整える「脂肪注入」を組み合わせた「クマ取り+脂肪注入」がおすすめです。
目の下の
クマ・たるみ(ふくらみ)の原因は
年齢とともに下がる、
目の下の脂肪に
よるものです
目の下の脂肪
目元の脂肪が下がることで、クマができたり、
皮膚がたるみ、老けた印象になります。
通常の目元は、膨らみやたるみがない状態です。
一人ひとりのクマの原因に
合わせた治療が必要となるため、
クマ治療では
専門医の適切な診断が
重要となります!
専門医の適切な診断が
重要となります!
表ハムラ法の流れ
-
目元の膨らみと皮膚のたるみ、
凹みの気になる箇所をマーキングします。 -
下まぶたのまつ毛の数ミリ下からメスを入れていきます。
-
眼輪筋(目のまわりの筋肉)と眼窩脂肪を剥離していきます。
-
余分な脂肪を目の下の骨にある凹みに移動させ、
平坦にならして固定します。
シワの原因となる余っている皮膚を切除します。
裏ハムラ法の流れ
-
膨らみと凹みの気になる箇所をマーキングします。
-
下まぶたをひっくり返し、裏側(内側)からメスを入れていきます。
-
眼輪筋(目のまわりの筋肉)と眼窩脂肪を剥離していきます。
-
余分な脂肪を目の下の骨にある凹みに移動させ、平坦にならして固定します。
クマ取りだからできる
目元のアンチエイジング
老け顔に見える原因No1 黒クマ
リフトアップなどをしても
解消されない老けた印象
全体的に-10歳若返った印象へ
若年層でもできる黒クマによる疲れ顔
実年齢よりも老けた印象
年齢相応の明るく
ハリのある美しい目元へ
なぜクマ取りをすると
若返って見えるのか?
目元はお顔全体の印象を大きく左右するパーツです。
そのため、目元にクマがあることで、お顔全体が老けた印象になります。
クマ取り施術では、クマを根本から治療するため、メイクやスキンケアでは改善できない若返り効果をもたらします。
4つの理由
症例数
4,000件以上の
圧倒的技術
症例数
4,000件以上の
圧倒的技術
累計4,000件以上に及ぶ豊富な症例に基づく深い知見と診断力を活かし、単なるクマ取り施術に留まりません。
段差や影の出方、左右差、皮膚の質感まで細部にわたり丁寧に診察し、一人ひとりのクマの状態に合わせた最適な手技を選択し、患者様の負担や最終的な仕上がりに徹底的に配慮した、オーダーメイドの提案を行います。
施術時間は
たったの30分(最短)
施術時間は
たったの30分(最短)
痛み・ダウンタイムほぼ0
痛み・ダウンタイムほぼ0
ダウンタイムを抑える工夫
傷跡が
残らずバレにくい
傷跡が
残らずバレにくい
仕上がりは自然さを重視しており、表面に傷がつかないため、若返って見られても、美容施術をしたこと自体は気づかれにくいケースが多いのが特長です。
当院の
クマ取り施術の流れ

STEP 01:カウンセリングと診察
院長ゆみこ先生が直接あなたの目元の状態を詳しく診察します。

STEP 02:施術前のマーキング
一人ひとりのクマの状態に合わせて、
脂肪を取る量や範囲を細かくデザインします。

STEP 03:施術
当院では、静脈麻酔を使用するため、痛みを感じずに、
眠っている間に施術が終わります。

STEP 04:ご帰宅
静脈麻酔がしっかりと切れたことを確認した後、ご帰宅いただけます。
担当医ご紹介

Da Vinci Beauty Clinic院長
よくある質問
- Q.
- コンタクトレンズはいつから装着可能ですか?
-
- A.
- 翌日から装着可能です。
- Q.
- 痛みやダウンタイムはありますか?
-
- A.
- 施術中は麻酔を使用するため、痛みを感じることはほとんどありません。
また、当院は高い技術力で施術時間を短縮することで、お客様のダウンタイムを最小限に抑えるよう努めています。
術後の腫れや内出血を軽減させる内服薬や点滴などもご用意していますので、ご不安な方はご相談ください。
- Q.
- ハムラ法の施術時間はどのくらいですか?
-
- A.
- 約30分ほどで終了する施術となります。
- Q.
- シャワーや入浴はいつから可能ですか?
-
- A.
- シャワーは施術当日から可能です。
ただし、入浴やサウナ、激しい運動など、血行が良くなる行為は腫れの原因となるため、術後1週間程度は控えていただくようお願いしています。
- Q.
- メイクはいつからできますか?
-
- A.
- 施術部位周辺を避けていただければ、当日からメイクが可能です。
術後すぐに帰宅される際も、お化粧をしてお帰りいただけます。
クマ取りの料金一覧
-
目の下の切らないクマ取り - モニター価格通常価格
-
¥148,000
¥249,000
目の下の切らないクマ取り+脂肪注入 - モニター価格通常価格
-
¥268,000
¥468,000
クマ取りプレミアムセット 目の下の切らないクマ取り+脂肪注入2種(コンデンスリッチ・ナノリッチ)
- モニター価格通常価格
-
¥368,000
¥568,000
表ハムラ法 - モニター価格通常価格
-
¥519,000
¥559,000
裏ハムラ法 - モニター価格通常価格
-
¥439,000
¥489,000
余剰皮膚切除 - モニター価格通常価格
-
¥298,000
¥348,000
※モニターの種類によって料金が異なります。









美容でお悩みの方は、ぜひ一度私の元へいらしてください。
豊富な経験に裏打ちされた高度な技術であなたの1番キレイを叶えます。
DA VINCIを開業するまで様々なクリニックで豊富な経験と実績を積んで参りました。
女性ドクターならではの美的感性でお客様に寄り添った治療を行います。
私自身、よりこだわりを持ったオーダーメイド治療を行いたいと思い、こだわりの詰まった美容クリニックを立ち上げました。クマ治療もさることながら、私自身もかなり肌治療にも力を入れています。
私の元へ来てくださった全ての方に幸せになっていただけるよう、最後まで誠心誠意対応させていただきます。